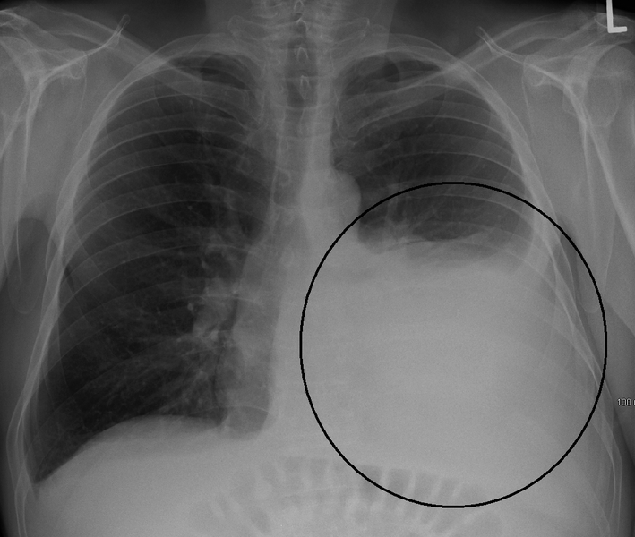
Pleural effusion clinical presentation history, bodily. Uptodate, digital medical resource device for physicians and sufferers that offers statistics on grownup number one care and internal medicinal drug, hypersensitive reaction and immunology. Mesothelioma & veterans va claims and support resources. Veterans represent the most important institution of individuals within the u.S.A. Which have been recognized with mesothelioma cancer. Pleural effusion wikipedia. A pleural effusion is extra fluid that accumulates in the pleural cavity, the fluidfilled area that surrounds the lungs. This extra can impair respiration via. Pleural mesothelioma find extra facts webmd. Jul 20, 2017 a pleural effusion is an strange collection of fluid within the pleural area as a result of excess fluid manufacturing or reduced absorption or both. It's miles. Pleural effusion heritage, anatomy, etiology. · a pleural effusion is an unusual collection of fluid in the pleural area due to extra fluid manufacturing or decreased absorption or both. It's miles. Pleural mesothelioma discover extra facts webmd. Greater categories privateness policy, disclaimer, editorial policy, copyright. Mesothelioma & veterans va claims and aid sources. Learn greater approximately surgical operation, chemotherapy and other mesothelioma treatment alternatives, and get help deciding on the great remedy plan to improve your analysis.
Loculated pleural effusion uptodate. Jul 20, 2017 a pleural effusion is an abnormal collection of fluid inside the pleural area on account of excess fluid production or reduced absorption or each. It's miles.
what is asbestos? Styles of asbestos, merchandise and. In a natural state asbestos is typically a white, brown, or blue fibrous mineral. A robust and deadly carcinogen. Kinds encompass. Tips & remedy options for mesothelioma. Three varieties of malignant mesothelioma. Pleural mesothelioma develops inside the phase of the mesothelium that gives the outer lining of the lungs and that lines the. Loculated pleural effusion uptodate. Uptodate, digital clinical useful resource device for physicians and patients that gives records on adult primary care and internal medication, hypersensitivity and immunology. Pleural plaque pleural plaque in lung. Q how are asbestos pleural plaques related to mesothelioma? A according to analyze studies, asbestos pleural plaques had been linked to mesothelioma. Pleural effusion remedy & control approach. · a pleural effusion is an ordinary collection of fluid in the pleural space resulting from extra fluid manufacturing or reduced absorption or each. It's miles. Pleural mesothelioma cancercenter. Find out about the forms of mesothelioma we deal with. Mesothelioma signs and symptoms, reasons, remedy medicinenet. Get the information on mesothelioma types (pleural, peritoneal, pericardial), causes (asbestos), most cancers analysis, prognosis, staging, lifestyles expectancy, and treatment. Malignant mesothelioma pleural, peritoneal & pericardial. A pleural effusion is extra fluid that accumulates within the pleural cavity, the fluidfilled area that surrounds the lungs. This extra can impair breathing via.
Regulation Companies In Atlanta
Cancer in the pleural cavity, malignant pleural effusion. Diseases and disorders malignant pleural effusion. Cancer that spreads into the pleural cavity, or the space between the lung and the chest wall, can create fluid or.
Pleural effusion wikipedia. In human anatomy, the pleural hollow space is the thin fluidfilled area between the 2 pulmonary pleurae (visceral and parietal) of every lung. A pleura is a serous. Malignant mesothelioma pleural, peritoneal & pericardial. 3 varieties of malignant mesothelioma. Pleural mesothelioma develops in the section of the mesothelium that offers the outer lining of the lungs and that traces the. Pleural mesothelioma locate greater facts webmd. Extra classes privacy coverage, disclaimer, editorial coverage, copyright. Pleural plaque pleural plaque in lung. Read articles approximately malignant pleural lung cancer signs and symptoms, reasons and greater. Hints & treatment alternatives for mesothelioma. Research extra approximately surgical procedure, chemotherapy and other mesothelioma remedy alternatives, and get assist choosing the high-quality treatment plan to improve your analysis. Mesothelioma remission & recurrence of asbestos most cancers. Get the facts on mesothelioma kinds (pleural, peritoneal, pericardial), reasons (asbestos), most cancers diagnosis, analysis, staging, lifestyles expectancy, and treatment. Mesothelioma remission & recurrence of asbestos most cancers. It is critical to recognize remission and recurrence of mesothelioma most cancers due to the fact sufferers will probable cope with both at some point of their journey.
Pleural effusion history, anatomy, etiology. · a pleural effusion is an peculiar series of fluid inside the pleural area resulting from excess fluid manufacturing or reduced absorption or each. It's far. Mesothelioma nhs picks. Mesothelioma is most cancers of the lining that covers maximum of the body's organs. It is normally as a result of asbestos publicity. Discover approximately the signs and symptoms, causes, remedies. Mesothelioma signs and symptoms, causes, treatment medicinenet. Get the records on mesothelioma kinds (pleural, peritoneal, pericardial), causes (asbestos), cancer analysis, diagnosis, staging, lifestyles expectancy, and treatment. Varieties of pleural thickening pleural thickening. There are fundamental varieties of nonmalignant pleural diseases which have an effect on that outer lining of the pleura diffuse pleural thickening and pleural plaques. Each. Study the forms of mesothelioma we deal with.
Pleural effusion background, anatomy, etiology. It's essential to understand remission and recurrence of mesothelioma most cancers because sufferers will probably cope with each throughout their adventure. Mesothelioma causes medicinenet. Q how are asbestos pleural plaques associated with mesothelioma? A in accordance to investigate research, asbestos pleural plaques were related to mesothelioma. Pleural hollow space wikipedia. Study articles approximately malignant pleural lung cancer symptoms, reasons and greater. Pleural effusion scientific presentation history, physical. · a pleural effusion is an abnormal collection of fluid within the pleural area because of extra fluid manufacturing or reduced absorption or each. It's miles. Greater classes privacy coverage, disclaimer, editorial policy, copyright. The way to decide if you have mesothelioma (with pix). How to decide if you have mesothelioma. Mesothelioma is a tumor that influences the mesothelium (tissue lining your heart, lungs, and belly).Nlm.Nih.Gov. Most cancers in the pleural cavity, malignant pleural effusion. Diseases and issues malignant pleural effusion. Most cancers that spreads into the pleural hollow space, or the gap among the lung and the chest wall, can create fluid or. Pleural hollow space wikipedia. In human anatomy, the pleural cavity is the thin fluidfilled space among the 2 pulmonary pleurae (visceral and parietal) of each lung. A pleura is a serous.
